You need to enable JavaScript to view the full site.
 
ARCHIVIO: CORONE/PONTI IN ZIRCONIO CERAMICA
 
 
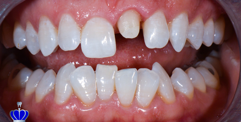
   Il caso realizzato in zirconia ceramica con area linguale in zirconia monolitica si presentava complesso per l'elevato valore dei denti adiacenti.
   Per di più c'erano bande di colore biancastro orizzontali sulla superficie.
   La difficoltà, quindi, era realizzare un colore fuori scala per imitare il centrale a fianco.
   Abbiamo pensato di fare delle prove con delle miscele di colore diverso che abbiamo realizzato aggiungendo del bianco alla dentina più chiara della scala colori.
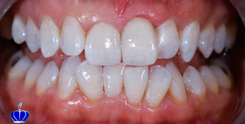
   Questo è il risultato estetico.
1 2 3 4 5 6 7 8 9 10


   Selezionate qui sopra il caso da esaminare e poi passate con il mouse sulle immagini piccole in alto per vederle ingrandite a sinistra.
© 2020 Smiling10 s.r.l.- P.I. BNAFPP71A20D704K - info@smiling10.com
ULTIME NOTIZIE: