You need to enable JavaScript to view the full site.
 
ARCHIVIO: CORONE/PONTI IN ZIRCONIO CERAMICA SU IMPIANTI
 
 
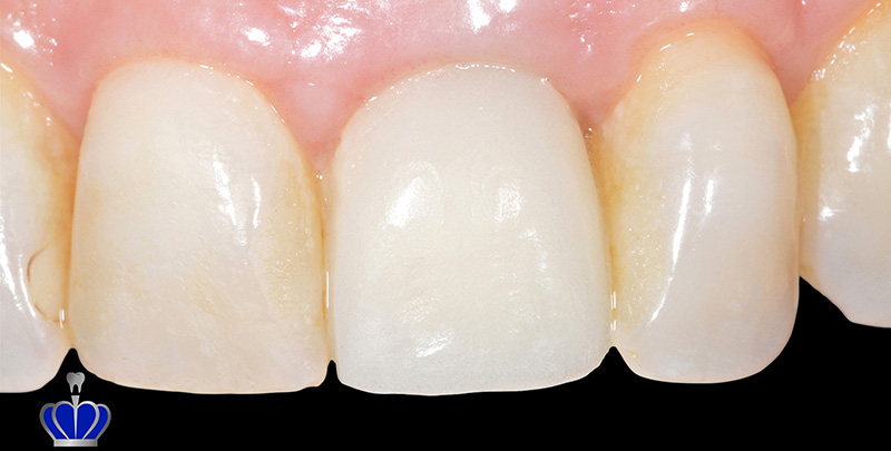
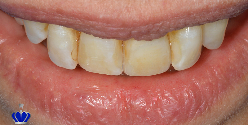
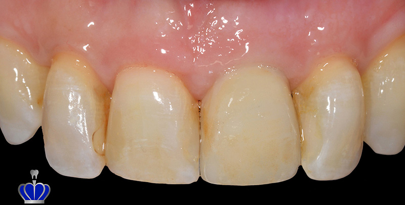
   Corona in zirconio ceramica su impianto realizzato con un core opaco per avere una ricostruzione ad alto valore.
   Il paziente richiedeva la stessa caratterizzazione del suo centrale naturale.
   Abbiamo copiato quindi anche le piccole caratterizzazioni mesiali e distali.
   Da notare l'emergenza della corona dalla fixture.
1 2 3 4 5 6 7 8 9 10


   Selezionate qui sopra il caso da esaminare e poi passate con il mouse sulle immagini piccole in alto per vederle ingrandite a sinistra.
© 2020 Smiling10 s.r.l.- P.I. BNAFPP71A20D704K - info@smiling10.com
ULTIME NOTIZIE: