You need to enable JavaScript to view the full site.
 
ARCHIVIO: CORONE/PONTI IN DISILICATO
 
 
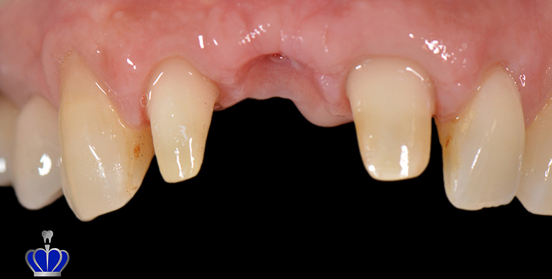
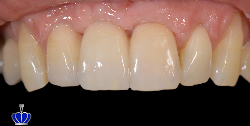
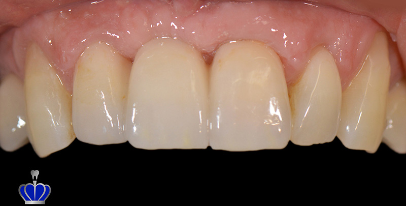
   In questo caso abbiamo realizzato un ponte in disilicato di litio perchè l'altezza della connessione ce lo permetteva.
   Abbiamo condizionato il pontic gengivale per dare la sensazione che l'elemento mancante nasca dalla gengiva in maniera naturale.
   Abbiamo utilizzato uno smalto molto simile a quello dei denti adiacenti con degli effetti particolari e abbiamo cercato di curare al massimo la morfologia del manufatto protesico.
1 2 3 4 5 6 7 8 9 10


   Selezionate qui sopra il caso da esaminare e poi passate con il mouse sulle immagini piccole in alto per vederle ingrandite a sinistra.
© 2020 Smiling10 s.r.l.- P.I. BNAFPP71A20D704K - info@smiling10.com
ULTIME NOTIZIE: