You need to enable JavaScript to view the full site.
 
ARCHIVIO: CORONE/PONTI IN ZIRCONIO MONOLITICO
 
 
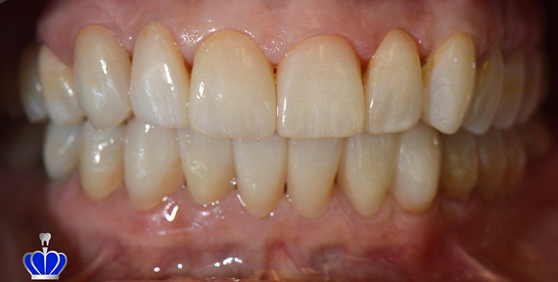
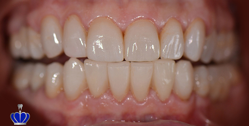
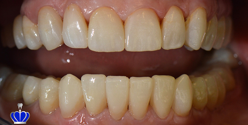
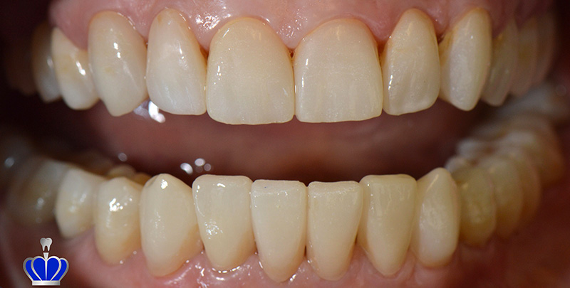
   Il lavoro realizzato presentava diverse difficoltà dal punto di vista gnatologico.
   E' stato realizzato mediante il protocollo 'Slavicek' attraverso la rilevazione della nuova dimensione verticale mediante il gig anteriore per la deprogrammazione dei condili.
   E' stato realizzato in zirconia monolitica multistrato (multicolore e multidurezza).
   Abbiamo realizzato degli effetti incisali cercando di creare dei contrasti di colore e di luci/ombre per dare un effetto naturale alla ricostruzione.
1 2 3 4 5 6 7 8 9 10


   Selezionate qui sopra il caso da esaminare e poi passate con il mouse sulle immagini piccole in alto per vederle ingrandite a sinistra.
© 2020 Smiling10 s.r.l.- P.I. BNAFPP71A20D704K - info@smiling10.com
ULTIME NOTIZIE: