image.png Smiling10 Home
 
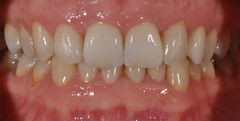
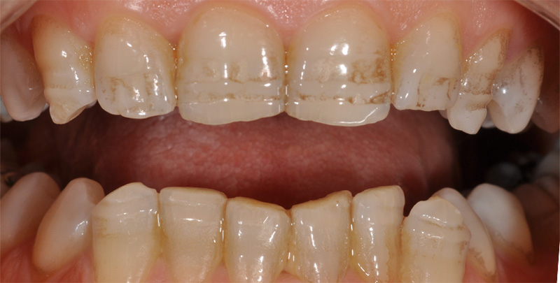
ARCHIVIO: FACCETTE IN CERAMICA FELDSPATICA
 
 
   Realizzato con 6 faccette in ceramica feldspatica da elemento 13 a elemento 23.
   Abbiamo optato per questa tecnica più complessa per mascherare al meglio le decolorazioni dello smalto con dentina opaca e dentina e smalto più coprenti.
1 2 3 4 5 6 7 8 9 10


   Selezionate qui sopra il caso da esaminare e poi passate con il mouse sulle immagini piccole in alto per vederle ingrandite a sinistra.
© 2020 Smiling10 s.r.l.- P.I. BNAFPP71A20D704K - info@smiling10.com
ULTIME NOTIZIE: