You need to enable JavaScript to view the full site.
 
ARCHIVIO: FACCETTE IN DISILICATO DI LITIO
 
 
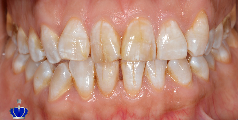
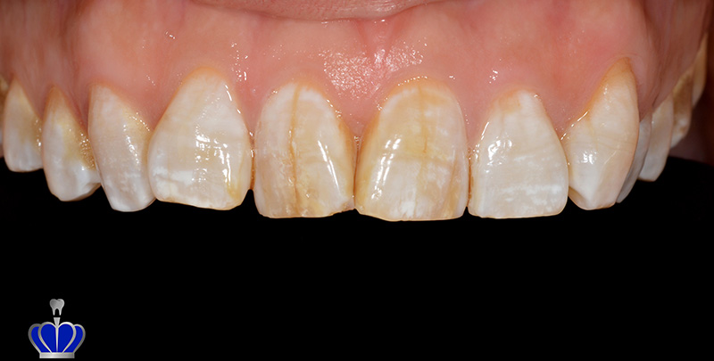
   Questo caso che abbiamo realizzato si presentava con innumerevoli sfide.
   La particolare cromaticità e le torsioni dei centrali e dei laterali superiori.
   Dovevamo anche ripristinare la linea mediana che era deviata e altra difficoltà erano gli spazi minimali per la realizzazione delle faccette.
   Abbiamo relizzato il caso in disilicato di litio Multi A1 e abbiamo cercato di creare degli effetti incisali ricercando una certa profondità per gli effetti incisali.
1 2 3 4 5 6 7 8 9 10


   Selezionate qui sopra il caso da esaminare e poi passate con il mouse sulle immagini piccole in alto per vederle ingrandite a sinistra.
© 2020 Smiling10 s.r.l.- P.I. BNAFPP71A20D704K - info@smiling10.com
ULTIME NOTIZIE: