You need to enable JavaScript to view the full site.
 
ARCHIVIO: PROTESI IN NYLON
 
 
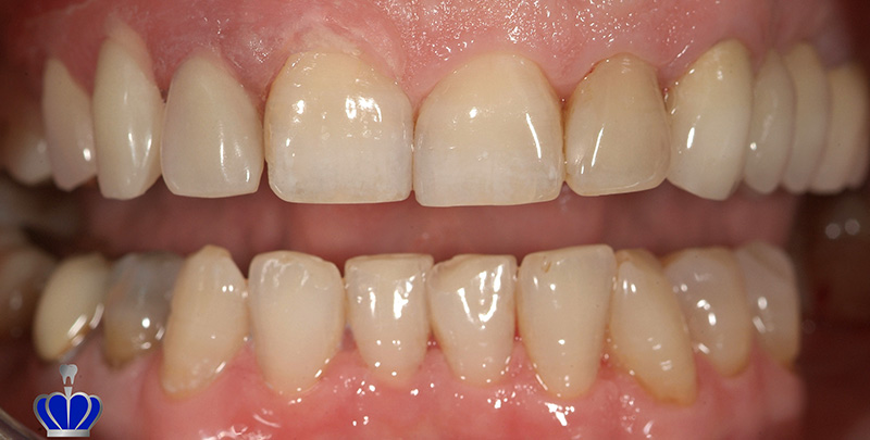
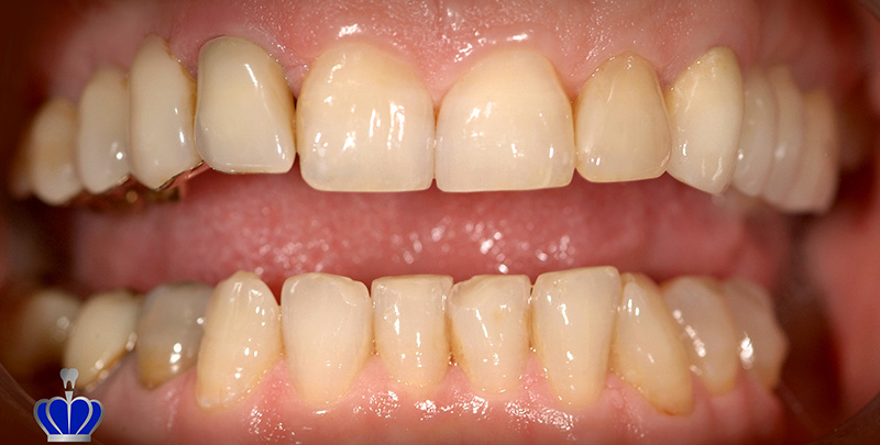
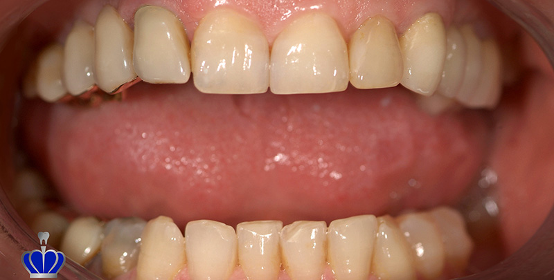
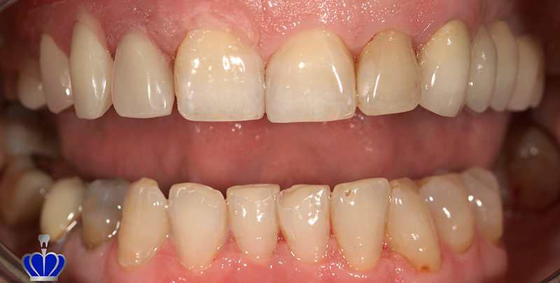
   Questo tipo di protesi si presta molto bene come provvisorio nelle terapie implantari.
   Dal punto di vista estetico ha un effetto camaleontico in bocca in quanto la colorazione della flangia rosa è molto traslucente e quindi i ganci si nascondono molto bene anche a livello degli incisivi.
   Inoltre la protesi ha un peso specifico molto basso quindi è veramente leggera.
1 2 3 4 5 6 7 8 9 10


   Selezionate qui sopra il caso da esaminare e poi passate con il mouse sulle immagini piccole in alto per vederle ingrandite a sinistra.
© 2020 Smiling10 s.r.l.- P.I. BNAFPP71A20D704K - info@smiling10.com
ULTIME NOTIZIE: