You need to enable JavaScript to view the full site.
 
ARCHIVIO: PROTESI TORONTO IN METALLO CERAMICA
 
 
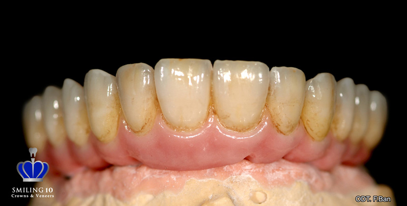
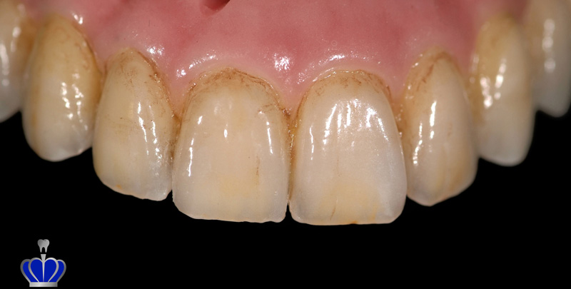
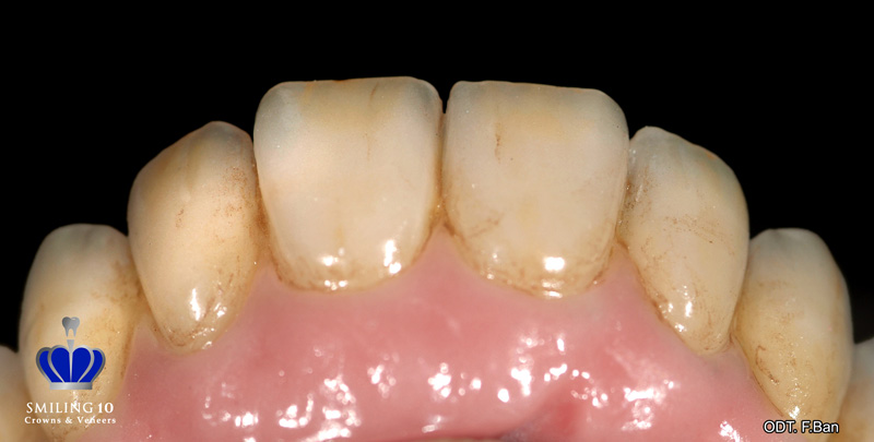
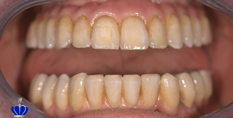
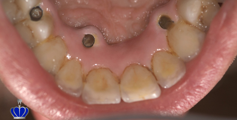
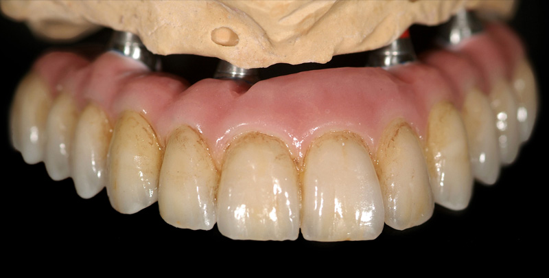
   È stato realizzato una toronto in metallo ceramica su struttura in cromo cobalto.
   Prima del lavoro ovviamente abbiamo realizzato un montaggio diagnostico per capire i volumi protesici , per studiare le forme e la fonetica.
   Il lavoro si compone di una flangia in ceramica rosa per compensare la perdita ossea e della struttura dentaria sempre in ceramica.
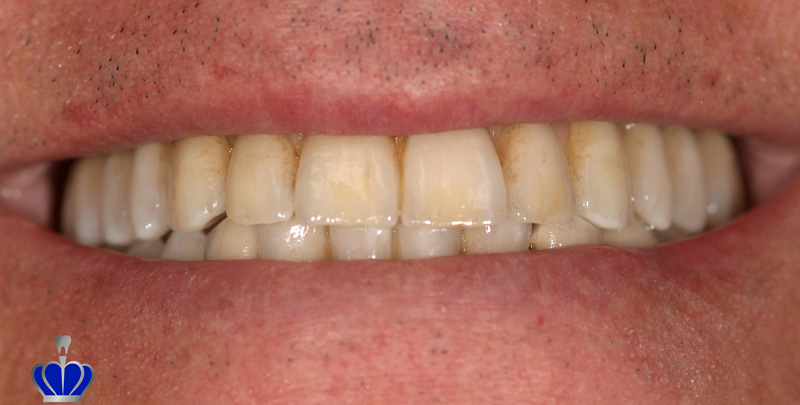
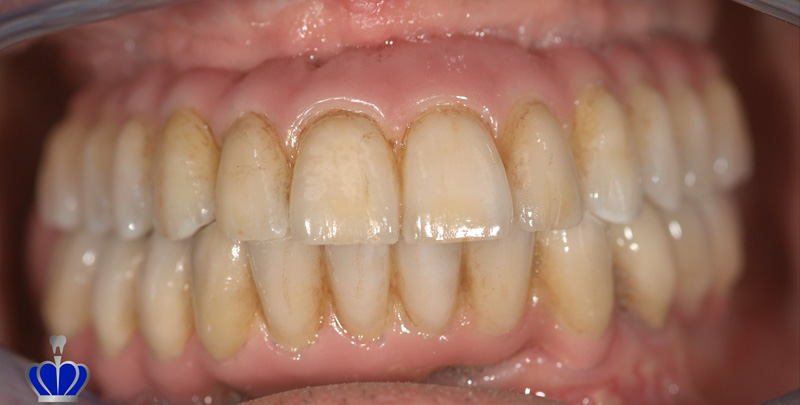
   Il paziente richiedeva dei denti naturali e vissuti per cui abbiamo caratterizzato in modo deciso il lavoro con super colori ceramici.
1 2 3 4 5 6 7 8 9 10


   Selezionate qui sopra il caso da esaminare e poi passate con il mouse sulle immagini piccole in alto per vederle ingrandite a sinistra.
© 2020 Smiling10 s.r.l.- P.I. BNAFPP71A20D704K - info@smiling10.com
ULTIME NOTIZIE: